Malheureusement, il n'est pas possible de garder toutes les dents intactes jusqu'à un âge avancé. Au fil du temps, ils sont exposés aux caries et à d'autres maladies et commencent à se dégrader. Lorsqu'il y a perte totale d'une ou plusieurs dents, se pose le problème des prothèses. Il y a tellement d'options pour obtenir un nouveau sourire, donc la cote des prothèses dentaires vous aidera à choisir la meilleure façon. Des conceptions amovibles et non amovibles peuvent être sélectionnées, guidées par l'état de la cavité buccale.
Pour restaurer la cavité buccale, une structure dentaire spéciale est utilisée, appelée «dentier». Il aide à restaurer l'aspect d'origine et même à le rendre plus attrayant. De plus, à l'aide de prothèses, vous pouvez rapprocher la cavité buccale d'une apparence saine.
Avec la fabrication correcte d'une structure dentaire artificielle, cela ne dérange en rien une personne. Bientôt, il y a une adaptation complète et le patient perçoit la prothèse comme sa mâchoire naturelle.
Les ponts peuvent être installés à la fois en cas d'absence totale de dents et en cas de perte partielle. L'installation du pont s'effectue en plusieurs étapes. Tout d'abord, une préparation est effectuée, au cours de laquelle un traitement est effectué, les dépôts de tartre et de plaque sont éliminés. Lorsque la récupération est terminée, une empreinte de la mâchoire est réalisée, selon laquelle la prothèse est réalisée. La conception finie est essayée sur le patient et, en cas de fabrication réussie, le produit est fixé.
Il existe plusieurs types de prothèses dentaires. Pour commencer, il convient de noter qu'ils se répartissent tous en deux grandes catégories.
Les prothèses fixes sont fixées sur la mâchoire et sont portées en permanence sans être enlevées. De telles prothèses, en règle générale, ne sont retirées qu'en cas d'urgence, par exemple en cas de rupture, d'usure ou d'inflammation sous la structure dentaire.
À un coût, les prothèses fixes sont beaucoup plus chères que les structures amovibles. Ici, la qualité du matériau utilisé dans la fabrication du produit joue un rôle important, ce qui affecte finalement la durabilité.

Les prothèses amovibles peuvent être retirées. Cela peut être fait non seulement par le dentiste, mais aussi par le patient lui-même.

Votre médecin vous aidera à choisir le bon type de prothèse. Dans le même temps, tous les facteurs possibles sont pris en compte: problèmes visibles, avantages et inconvénients des structures. Bien sûr, le mot décisif dans le choix de la méthode de prothèse reste avec le patient lui-même.
Examinons de plus près les options qui existent pour les structures dentaires non amovibles.
La méthode la plus simple de prothèse fixe est une couronne. Avec leur aide, vous pouvez complètement restaurer la dent si la racine reste et qu'elle est complètement détruite. Les couronnes sont en métal, métal-céramique, céramique ou métal-plastique. Il est préférable d'utiliser des matériaux avec de la céramique. Ils sont durables et créent l'apparence la plus naturelle. Il faut garder à l'esprit qu'une couronne en céramique est plus chère qu'une céramo-métallique.
Cette option est considérée comme la plus économique.Pour installer une couronne métallique, vous n'avez pas besoin d'aiguiser beaucoup le tissu dentaire. D'un autre côté, une telle couronne semble peu attrayante et ne dure que quelques années.

Le prix moyen d'une couronne en métal est de 3600 roubles.
De telles structures ont une bonne résistance et sont capables de supporter de lourdes charges lors de la mastication. Leur durée de vie est d'environ 15 ans. Mais en même temps, la pose d'une telle couronne nécessite un fort retournement du tissu dentaire, car l'épaisseur du cermet est importante. De plus, ces couronnes diffèrent de la mâchoire native par leur teinte.

Le prix moyen d'une couronne céramo-métallique est de 4000 roubles.
Le principal avantage des couronnes en céramique est leur naturel total. La teinte et l'éclat de la céramique sont tout à fait similaires à ceux des dents naturelles. Le cadre de telles couronnes est assez mince, donc lors de leur installation, il n'est pas nécessaire de broyer beaucoup de tissu. Dans le même temps, ce matériau est fragile, ce qui affecte le coût de la structure.

Le prix moyen d'une couronne en céramique est de 15 000 roubles.
Pour la fabrication de couronnes de ce type, un alliage spécial est utilisé, qui est parfaitement combiné avec le tissu gingival. De telles couronnes sont peu coûteuses et sont fabriquées assez rapidement. Le plastique peut être sélectionné en fonction de la teinte de la mâchoire. Le plus souvent, des structures métallo-plastiques sont utilisées pour créer des prothèses de type bridge. L'inconvénient de cette conception est sa faible résistance.
Le prix moyen des couronnes métal-plastique est de 3000 roubles.
Comme vous pouvez le constater, il existe de nombreuses variétés de couronnes. Par conséquent, pour prendre la bonne décision, suivez quelques règles :
Ce type de prothèse est utilisé lorsque la dent est en grande partie détruite et doit être restaurée. Il est installé en fonction du type de joint. L'incrustation est en céramique ou en cermet, a une grande stabilité et est presque invisible de l'extérieur. Les languettes sont assez solides et tiennent bien sur la mâchoire, mais par contre, avec le temps, de très petites fissures se forment sur celles-ci, ce qui permet aux microbes de pénétrer à l'intérieur. En présence de certaines formes de caries, il n'est pas possible de mettre en place une telle microprothèse.

Le prix moyen d'un onglet commence à partir de 6 000 roubles.
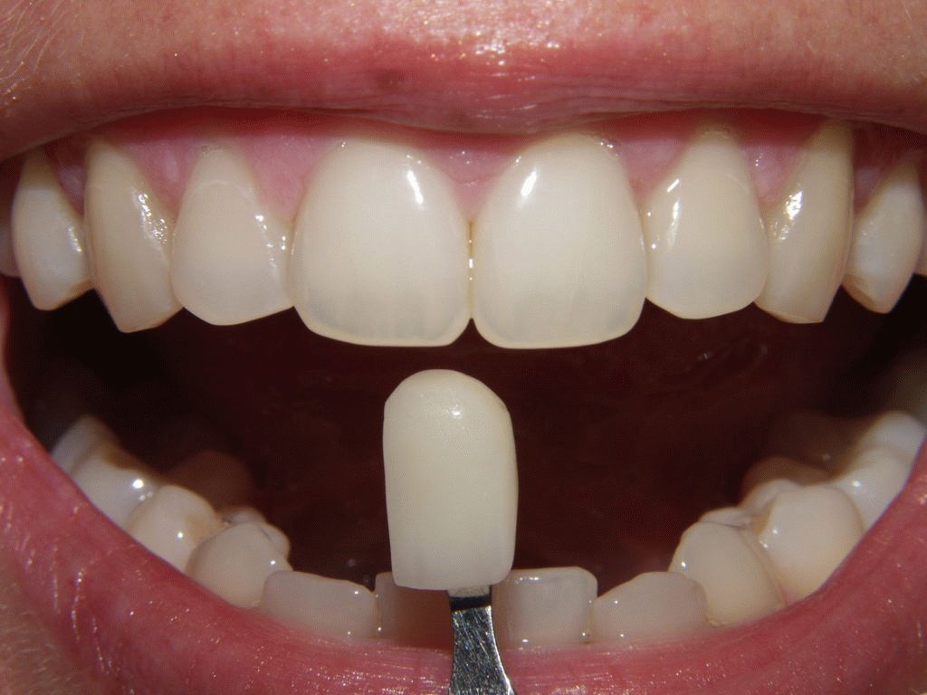
Dans le cas où la dent présente des dommages mineurs et que cette dent est située à l'avant de la mâchoire, une microprothèse utilisant une facette est possible. Cet élément est une fine plaque de céramique qui ressemble beaucoup aux dents humaines naturelles. Avec des soins appropriés, les facettes durent longtemps. La céramique utilisée pour fabriquer ce produit a une excellente résistance aux taches de colorant alimentaire, de sorte que le placage ne change pas de couleur. Lors de la pose de ces micro-prothèses, il est également nécessaire de meuler le tissu dentaire, mais peu.

Lumineer est également une plaque de porcelaine qui est appliquée sur la dent. L'épaisseur de cet appareil n'est que de 0,2 mm, il n'est donc souvent pas nécessaire de tourner pour installer un luminaire. À l'aide de facettes et de lumineers, les défauts esthétiques de la mâchoire qui ne nécessitent pas d'intervention sérieuse sont généralement éliminés.Ils sont également utilisés simplement pour obtenir un beau sourire.
Le prix moyen des placages est de 12 000 roubles.
Ce type de prothèse dentaire est l'un des plus modernes. Dans ce cas, une racine artificielle spéciale est implantée dans la mâchoire, sur laquelle une prothèse ou une couronne séparée est ensuite installée. Les implants vous permettent de restaurer complètement les fonctions de mastication, d'avoir un aspect esthétiquement attrayant. Il ne nécessite pas de meulage des dents adjacentes. Vous pouvez installer un implant même s'il n'y a pas de dents adjacentes.

Le prix moyen d'un implant est de 13 500 roubles.
Démonstration de pose d'implant :
Cette construction dentaire ferme plusieurs dents à la fois. Des dents humaines tournées et saines servent de support pour un bridge dentaire. Ce type de prothèse est aujourd'hui assez peu utilisé, car il présente de nombreux inconvénients. Tout d'abord, avec cette méthode de prothèse, il est nécessaire de gâter des dents parfaitement saines, en broyant les tissus et en enlevant les nerfs. En conséquence, il devient mort et rapidement détruit. De plus, il y a un changement dans la charge de mastication, car le pont ne charge pas la mâchoire.

Il existe plusieurs types de ponts:
Les deux dernières options vous permettent de réduire l'impact négatif sur vos dents naturelles, elles sont donc utilisées plus souvent. En même temps, cette conception remplace complètement la mâchoire naturelle, y compris la fonction masticatrice. Pour la fabrication du pont, des matériaux spéciaux sont utilisés qui ne changent pas de couleur pendant le fonctionnement.
Les prothèses avec ponts sont possibles même en l'absence totale de ses propres dents. Dans ce cas, des constructions adhésives peuvent être utilisées. Un tel pont est attaché à une colle spéciale. Même si une partie du pont tombe, son intégrité est restaurée en une seule session.
Les ponts ne nécessitent pas de s'y habituer et ne modifient pas le goût des aliments. Étant donné que les ponts sont fabriqués strictement individuellement, leur forme et leur couleur sont parfaitement compatibles avec les dents naturelles.
Le prix d'une telle prothèse dépend du matériau utilisé et du type de bridge. Mais on peut dire sans équivoque que les ponts sont beaucoup moins chers que les implants.
Le prix moyen d'une prothèse de pont de trois couronnes est de 22 000 roubles.
Plus d'informations sur ces prothèses - dans la vidéo:
Si, pour une raison quelconque, il n'est pas possible d'installer des prothèses permanentes, vous pouvez restaurer l'esthétique de la cavité buccale et améliorer les fonctions de mastication à l'aide d'une option amovible. Ce type de prothèse se divise en deux types :
La construction dentaire en acrylique est considérée comme la plus courante. De tels produits sont très légers, ils ne nécessitent pas de tourner les dents. Des crochets spéciaux sont utilisés pour fixer les prothèses en acrylique. Le plastique acrylique n'a aucune contre-indication, de sorte que ses conceptions peuvent être utilisées pour tous les patients.Extérieurement, la prothèse acrylique n'est pas perceptible. Je suis également heureux que le prix d'un tel produit soit très abordable.

En même temps, il faudra plusieurs semaines pour s'habituer à la prothèse en acrylique. Pendant tout ce temps, la personne salive activement. Il peut y avoir des troubles de la parole ou des changements dans les sensations gustatives. Les personnes hypersensibles peuvent présenter des signes d'allergie pendant la période de dépendance.
Le prix moyen d'une prothèse en acrylique est de 9000 roubles.
À propos des avantages et des inconvénients de telles prothèses - dans la vidéo:
La principale différence entre ces produits et les précédents réside dans le matériau utilisé. Il ne contient pas de substances qui irritent les gencives. De plus, ces prothèses se caractérisent par une résistance accrue, répartissent plus uniformément la charge et s'adaptent mieux aux gencives. Ces structures peuvent être attachées aux dents naturelles à l'aide de crochets en caoutchouc spéciaux. S'il n'y a pas de dents propres, des ventouses sont utilisées pour la fixation.

Le prix moyen des prothèses non acryliques est de 30 000 roubles.
Ce type de prothèse est rarement utilisé car elles sont assez chères et ne peuvent être utilisées que pour restaurer une petite zone de dents manquantes. Pour fixer une prothèse en nylon, on utilise des grimpeurs souples qui ne nécessitent pas l'installation d'une couronne. En conséquence, la gomme n'est pas frottée. Cette conception est invisible et possède d'excellentes propriétés antimicrobiennes. Les produits en nylon ne nécessitent pas une longue accoutumance.

Le principal inconvénient des prothèses en nylon est qu'elles ne répartissent pas correctement la charge masticatoire. Il y a une forte pression sur la gencive et sa destruction rapide. En conséquence, la gencive s'affaisse et la dent pilier se détériore.
Le prix moyen d'une prothèse en nylon est de 18 000 roubles.
Un tel produit est un cadre en métal coulé recouvert d'une couche uniforme d'acrylique. Il a des dents artificielles. 
En bouche, le design du fermoir prend peu de place en raison de sa petite taille. Cette prothèse contribue à une charge uniforme sur la mâchoire et est invisible pour les étrangers. Pour fixer la structure, des crochets, des micro-serrures ou des couronnes spéciales sont utilisés. À l'aide d'une prothèse à fermoir, vous pouvez restaurer les dents dans toutes les parties de la mâchoire. Derrière le fermoir, les produits ne nécessitent pas de soins particuliers et il ne faut pas longtemps pour s'y habituer. De plus, ils ont une très longue durée de vie - jusqu'à 15 ans.
Le coût moyen des prothèses à fermoir est de 26 000 roubles.
À propos des prothèses à fermoir en détail - dans la vidéo :
Dans certains cas, il devient nécessaire d'installer des structures temporaires. Habituellement, ils sont mis en place pour une courte période dans le cas où il est nécessaire d'effectuer une grande quantité de travaux sur l'installation d'un pont permanent. Ensuite, des couronnes en plastique sont utilisées. Ils sont bien pires que les cermets, mais contribuent à un transfert plus confortable de la phase préparatoire. Ils réduisent la sensibilité des dents vivantes tournées, protègent contre les aliments froids et chauds et d'autres influences irritantes.
Le prix moyen des couronnes en plastique est de 500 roubles.
La dentisterie moderne présente toute une gamme de solutions différentes pour restaurer l'attrait esthétique et la fonction de mastication de la cavité buccale. Le patient n'a qu'à choisir une solution qui lui conviendra parfaitement et lui permettra de résoudre les problèmes dentaires existants.